Crafting Confidence: How Veneers Revolutionise Your Smile
Introduction
A captivating smile can significantly boost one’s self-esteem, casting a positive impression in both personal and professional settings. With advances in dental technology, achieving that perfect smile is no longer a distant dream. Veneers have emerged as a popular choice among individuals seeking to enhance their dental aesthetics and, consequently, their confidence. This blog post explores how veneers, particularly in the vibrant scene of veneers London, are revolutionising smiles across the UK.
Understanding Veneers
What Are Veneers?
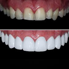
Veneers are thin shells made of porcelain or resin composite materials, designed to cover the front surface of teeth. They are meticulously crafted to fit each tooth and provide a natural appearance. Veneers address a variety of cosmetic concerns, including discolouration, chips, and misalignment, making them a versatile solution for dental imperfections. Discover more about the science and application of dental veneers.
The Procedure
- Consultation: The journey begins with a consultation. A dentist evaluates the patient’s dental health and discusses their aesthetic goals.
- Preparation: The dentist removes a small amount of enamel to make space for the veneer. This step is crucial to ensure the veneer sits flush with the surrounding teeth.
- Impression: An impression of the teeth is taken and sent to a dental laboratory where the veneers are custom-made.
- Bonding: Once ready, the veneers are bonded to the teeth using a special adhesive, following a meticulous fitting process to ensure comfort and aesthetics.
The Benefits of Veneers
Enhancing Aesthetic Appeal
Veneers are celebrated for their ability to transform smiles rapidly. They can rectify a wide range of dental issues such as gaps, misalignments, and discolourations, providing a symmetrical and radiant smile. This transformation often leads to an increase in self-confidence, enhancing the individual’s social interactions and professional opportunities.
Durability and Easy Maintenance
Porcelain veneers, in particular, are renowned for their durability. With proper care, they can last from 10 to 15 years, offering a long-term solution for maintaining a beautiful smile. Maintenance of veneers is straightforward, involving regular brushing, flossing, and routine dental check-ups, similar to caring for natural teeth. Learn more about the longevity and care of dental veneers.
Considerations and Professional Guidance
While veneers offer a multitude of benefits, individuals should consider their personal dental needs and consult with a professional to determine suitability. The process, although minimally invasive, is irreversible due to the enamel removal. Therefore, it’s crucial to consult with experienced dental practitioners, especially in cities like London where veneers are in high demand. A thorough evaluation helps in making informed decisions, ensuring the desired outcomes are achieved.
For those contemplating veneers, understanding their transformative potential is key. Explore the profound impact veneers have had on dental aesthetics and confidence through this insightful study on dental veneer transformations.
Conclusion
In the realm of cosmetic dentistry, veneers have proven to be a game-changer, offering a blend of beauty, functionality, and durability. As more individuals in London and beyond seek to improve their smiles, veneers have become a go-to solution for those eager to boost their confidence and overall quality of life. With the guidance of skilled professionals, the journey to a perfect smile is not only achievable but also rewarding. Whether addressing minor imperfections or seeking a complete smile makeover, veneers offer a path to enhanced self-assurance and satisfaction.
